In the past, people missing all of their teeth had no option but dentures. This prosthesis has numerous disadvantages, such as:
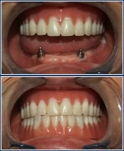
These problems can be solved with implant supported replacement teeth, which are stable (securely fastened to the implants) and maintain the integrity of the facial structures by preserving the bone.

When all of the your are missing, there will definitly be problems in eating healthy foods. Due to loss of bone, the structure and shape of your face may even change.


Millions of people are missing most or all of their teeth. For these people, a denture replacement solution that eliminates the need for denture adhesives might mean a new level of comfort and ease in their life. Denture replacement alternatives use dental implants for retention, thereby removing the need for the use of messy and unreliable denture adhesives. Implant retained dentures can also help in reducing or even eliminating painful denture gum sores. If you or your loved ones require a denture repair, or are considering new dentures altogether, consider a denture replacement alternative with a solid foundation and leave your denture adhesives behind!
If you are tired of dentures moving around in your mouth, rubbing your gums and causing denture sores, or are discouraged with using denture adhesives, permanent complete tooth replacement may be right for you. A fixed denture solution consists of a dental implant bridge supported by four or more dental implants. By using dental implants to secure permanent dentures, you can regain that confidence of having fixed, solid teeth again. If you or your loved ones are suffering with dentures and desire an alternative, book a consultation and learn more. We will be happy to take time to discuss all of your options.