Pre-Prosthetic Surgery

Preprosthetic surgery usually involves preparing the oral cavity for the placement of removable prosthetics (removable full or partial dentures). Often time a patient’s treatment plan involves the delivery of a removable denture as a temporary or final restoration. Depending on circumstances the patient’s oral supporting structures, bone and gum tissues, may require surgical procedures beforehand to provide acceptable fit, function, and comfort of the denture.

The tooth supporting bone is referred to as alveolar bone, and the gum tissue as gingiva. An alveoplasty or alveolectomy involves the reshaping or removal of alveolar bone. This is done to remove undesirable contours, ridges, or sharp edges to provide a smooth more comfortable foundation for a denture. Alveolar bone procedures are often performed simultaneously with multiple tooth extractions, but are sometimes delayed to allow some natural remodeling of bone. Gingivoplasty procedures are similar. They are performed to remove or reshape the gum tissue to provide a more acceptable surface for a removable denture. Occasionally excess or redundant soft tissue requires removal.

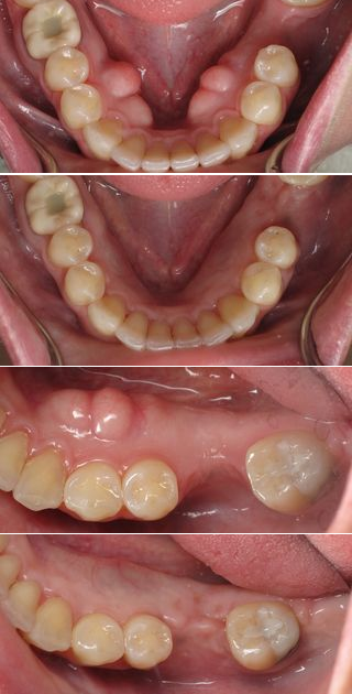
Lingual tori are deposits of excessive bone on the lingual (tongue) side of the lower jaw. They can vary in size, are usually bilateral (both sides) and are somewhat bulbous in shape. Lingual tori will interfere with the lingual flange of a lower full denture and the lingual framework of a lower partial denture. Lingual tori are often indicated for removal prior to the fabrication of lower removable dentures. Similarly, a palatal torus is an overgrowth of excessive bone on the upper hard palate. Palatal tori interfere with the placement of upper full dentures and usually require removal or reduction prior to making the denture.

Pre-Prosthetic Surgery example
TOP