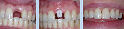
When a single tooth is missing, the two most common treatment options are the traditional tooth supported bridge and an implant supported crown. When a traditional bridge is used to replace a missing tooth, the adjacent teeth are cut down into peg shapes in order to fit the cemented bridge in place.
This method of tooth replacement can be very esthetic and functional for a period of time. However, a tooth supported bridge does not replace the bone that previously surrounded the root. Since there is no longer a root to hold the bone in place, the bone deteriorates, or melts away.
There are many advantages to replacing a single missing tooth with an implant supported crown:

Even just a single missing tooth can make you uncomfortable when you laugh and smile. When there is a gap, your remaining teeth may shift and move to close the space.


